![]()
股関節形成不全・臨床
教師猫の治療室へ通院中の『股関節形成不全』の患者さんから、レントゲン写真の提供を受けました。指圧の臨床資料として、HP掲載の承諾を得ることができましたので掲載します。

教師猫は、資料価値が下がることよりも、患者さんのプライバシーを公表することを好みません。
患者さんのプライバシーを守り、資料価値を下げない工夫を施します。〔プロの目で読み取ってください〕
概略
病名
- 股関節形成不全
発症
- 25年程前の中学の部活動(運動部)で活躍中に股関節にしばしば痛みを感じるが、医療機関等への受診はせずに、家庭でシップ等を施していた。
経過
- 高校時代に激痛に襲われ総合病院を受診、股関節形成不全と診断される。外科手術を勧められるが応じず。経過観察となる。専門医を求めて数箇所の総合病院を転院。15年ほど前より、現在の病院にて(外科手術を勧められるも)、6ヶ月に一度の経過観察中。〔被術した民間療法は数知れず〕
教師猫の治療室へは2003年7月、先天性股関節脱臼患者の紹介で来院。 股関節の疼痛と歩行困難が主訴。ぶん回し歩行が著明で、下肢長差(右-3.0cm) を始めとする骨盤を中心とした特徴的な脊柱の歪みが他覚的に容易に観察された。さらに、それらを起因する不定愁訴も確認できた。
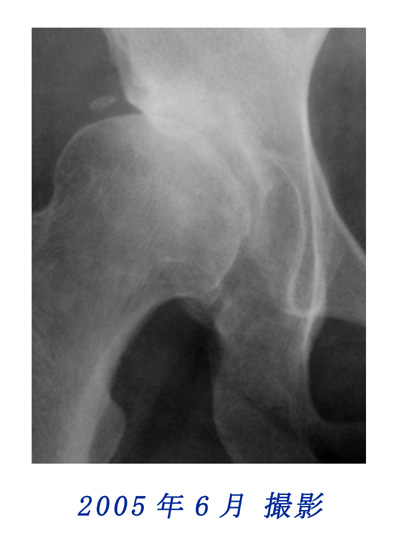
治療前・治療後
2000年6月と2003年4月のレントゲン写真を比較しても、変化は認めにくいのですが、2003年4月と2005年6月に撮影されたレントゲン写真の骨盤形状に顕著な変化を観察することができます。

比較用レントゲン写真
2003年4月と2005年6月に撮影されたレントゲン写真を重ねてみました。写真にカーソルを重ねると2003年と2005年の写真が入れ替わります。骨盤形状の変化を観察してください。
右股関節の変化(部分拡大)
2003年と2005年に撮影されたレントゲン写真中、右の股関節にも顕著な変化を認められました。

右股関節の変化比較用
2003年と2005年のレントゲン写真の股関節部を拡大して重ねました。写真にカーソルを重ねると2003年と2005年の写真が入れ替わります。股関節の変化を観察してください。




前のページ へ
